
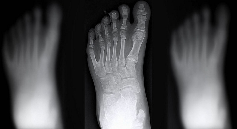
近日,巴西的达席尔瓦(Da Silva)家族迎来一个新的小生命,取名叫维尼修斯(Vinicius)。值得注意的是,他继承了家族特征——六指。

畸形对于大多数家庭而言都是噩耗。然而达席尔瓦家族却将其家族遗传的六指视若珍宝。23位家庭成员中共有14位患有多指畸形,他们的手指和脚趾都比常人多出2根。

一般来说,大部分多指畸形的患者无法使用他们多出来的手指,可是达席尔瓦家族的多指却可以正常使用。于是这种畸形非但没有成为阻碍,反而被认为是上天赐予的财富,他们可以利用多指的优势在音乐和足球等方面独占鳌头。譬如新生儿的哥哥乔阿西斯(Joao Assis),他是一名守门员。他说,六指可以让他在抓球时有更多着力点,所以球很难从他手里逃脱。

因此,维尼修斯尚未出生时,家族就对他寄予厚望,希望他能继承六指,并善加利用他的这种“天赋”成为出色的人。

近日,巴西的达席尔瓦(Da Silva)家族迎来一个新的小生命,取名叫维尼修斯(Vinicius)。值得注意的是,他继承了家族特征——六指。

近日,巴西的达席尔瓦(Da Silva)家族迎来一个新的小生命,取名叫维尼修斯(Vinicius)。值得注意的是,他继承了家族特征——六指。

近日,巴西的达席尔瓦(Da Silva)家族迎来一个新的小生命,取名叫维尼修斯(Vinicius)。值得注意的是,他继承了家族特征——六指。

近日,巴西的达席尔瓦(Da Silva)家族迎来一个新的小生命,取名叫维尼修斯(Vinicius)。值得注意的是,他继承了家族特征——六指。

近日,巴西的达席尔瓦(Da Silva)家族迎来一个新的小生命,取名叫维尼修斯(Vinicius)。值得注意的是,他继承了家族特征——六指。

近日,巴西的达席尔瓦(Da Silva)家族迎来一个新的小生命,取名叫维尼修斯(Vinicius)。值得注意的是,他继承了家族特征——六指。
(原标题:巴西“六指家族”迎小生命继承六指遗传)
